The Digitized Atlas of Mouse Liver Lesions
Much of the work carried out by DTT is in support of the National Toxicology Program (NTP), an interagency partnership of the Food and Drug Administration, National Institute for Occupational Safety and Health, and NIEHS.
Visit the NTP WebsiteHepatocellular carcinomas may have a variety of growth patterns such as trabecular, glandular, or solid. The most common appearance is the trabecular growth pattern which consists of chords three or more cell layers thick. Hepatocellular carcinomas often have an irregular border due to local invasion into adjacent parenchyma. Areas of necrosis may be found in hepatocellular carcinomas. In some instances hepatocellular carcinomas appear to arise from within hepatocellular adenomas.
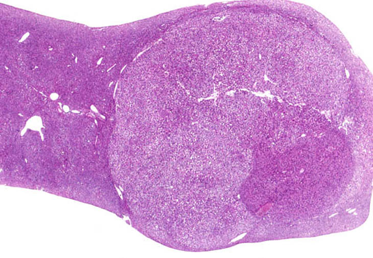
Multiple liver tumors are often produced when mice are treated with potent hepatocarcinogens. While the gross appearance of adenomas is typically dome-shaped or smoothly spherical, carcinomas have an irregular bosselated contour and prominent superficial blood vessels.
Low magnification of a hepatocellular carcinoma which is unusual in that it has a relatively discrete border; higher magnification shows irregular trabeculae and nests of neoplastic hepatocytes.
Hepatocellular carcinoma showing thick trabeculae.
A trabecular carcinoma is compressing adjacent hepatic parenchyma.
Hepatocellular carcinomas comprised of nests of neoplastic hepatocytes.
Hepatocellular carcinoma in which some of the nests of cells have a central area of necrosis which is filled with eosinophilic material.
Carcinomas comprised of thickened trabeculae and nests with central necrosis.
Hepatocellular carcinoma with formation of large glands filled with eosinophilic protein material. Glandular-like structures are lined by a single layer of hepatocytes.
Hepatocellular carcinoma with a mixed growth pattern.
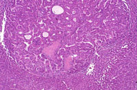
A hepatocellular carcinoma arising within a discrete hepatocellular adenoma.
A small area of carcinoma characterized by thickened trabeculae is arising within a large adenoma.
Another example of a hepatocellular carcinoma arising from within a hepatocellular adenoma.
 
           
     
   
   
   
   
   
   
   
   
   
   
   
   
   
   
   
   
   
  