NIEHS provides the following Visual Guides as resources to scientists.
 
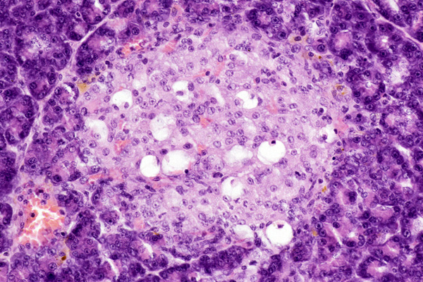
    The Digitized Atlas of Mouse Liver Lesions
The Atlas provides hundreds of color photographs and slides of various types of rodent liver lesions. Readers can search by both subject and by pathology.
 
    Global Toxicologic Pathology Training Program
The NIEHS Division of Translational Toxicology (DTT) promotes the development and application of novel scientific tools and approaches that help researchers, regulators, and the public better understand how environmental agents can affect human health.
 
    Mouse & Rat Embedding Suggestions
These images provide suggestions to scientists in the form of detailed illustrations, photos, interactive guides, and suggestions. These suggestions cover both rat and mouse tissues.
 
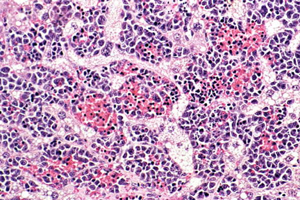
    NTP Nonneoplastic Lesion Atlas
The National Toxicology Program (NTP) is pleased to bring to you a new searchable, web-based resource containing thousands of high quality images and guidelines for diagnosis of nonneoplastic lesions in experimental rodent models.
 
    NTP Rodent Ultrastructure Atlas
The NTP Rodent Ultrastructure Atlas is a comprehensive collection of high-resolution microscopic images that show the intricate organization and detailed composition of normal rodent tissues and cells.
 
    Revised Guides for Organ Sampling and Trimming in Rats and Mice
This guide provides organ sampling and trimming guides to scientists in the form of detailed illustrations and photos. These guides cover both rats and mice.
 
           
    