Close the left navigation

The Digitized Atlas of Mouse Liver Lesions

Much of the work carried out by DTT is in support of the National Toxicology Program (NTP), an interagency partnership of the Food and Drug Administration, National Institute for Occupational Safety and Health, and NIEHS.

Visit the NTP Website


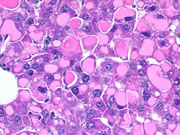
Hyaline bodies are occasionally seen in liver degeneration as well as in hepatocellular neoplasms of mice. In this example a large number of large hyaline bodies are concentrated in one region of the liver.