Close the left navigation

The Digitized Atlas of Mouse Liver Lesions

Much of the work carried out by DTT is in support of the National Toxicology Program (NTP), an interagency partnership of the Food and Drug Administration, National Institute for Occupational Safety and Health, and NIEHS.

Visit the NTP Website

Cholangiocarcinomas consist of proliferation of glandular structures, which are often irregular, lined by single and multiple layers of cuboidal to columnar epithelium, and often associated with an abundant scirrhous reaction. The epithelium may sometimes be pleomorphic and anaplastic, and dilated glands may contain mucinous secretion. Extremely dilated glands are sometimes line in places by attenuated epithelium. Hepatocholangiocarcinomas are rare in mice. They contain neoplastic features of both hepatocellular carcinomas and cholangiocarcinomas.


A discrete cholangiocarcinoma protruding above the natural surface of the liver. Higher magnification shows poorly formed glandular structures and a minimal scirrhous reaction.


A cholangiocarcinoma with a prominent scirrhous reaction


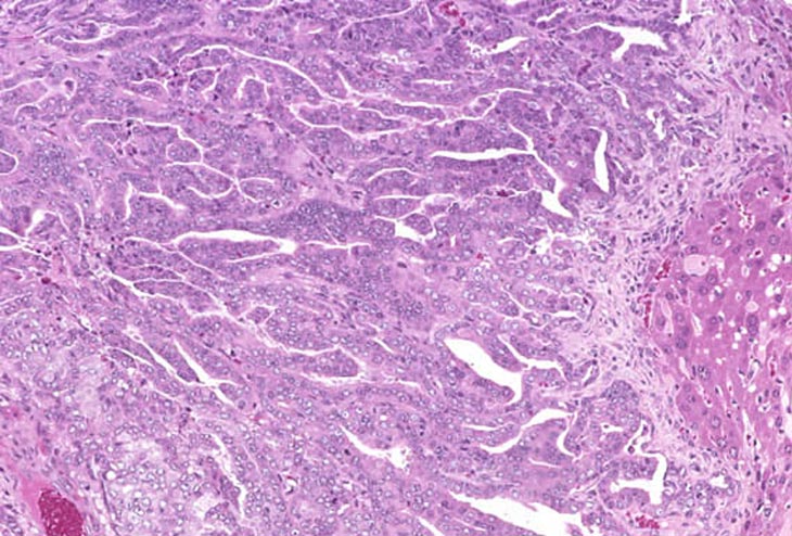
This hepatocholangiocarcinoma in the liver is comprised of neoplastic hepatocytes and irregularly formed bile ductular structures.


This distinct hepatocholangiocarcinoma in the liver is comprised of pleomorphic hepatocytes and poorly formed ductular structures resembling bile ducts. The high magnifications show a disorganized proliferation of hepatocytes and poorly differentiated biliary cells.