The Digitized Atlas of Mouse Liver Lesions
Much of the work carried out by DTT is in support of the National Toxicology Program (NTP), an interagency partnership of the Food and Drug Administration, National Institute for Occupational Safety and Health, and NIEHS.
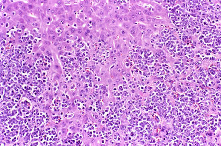
Visit the NTP WebsiteThe liver is a relatively frequent site of infiltration by malignant lymphocytes, especially in strains with a high prevalence of lymphoma.
Infiltration of malignant lymphocytes in a liver from an adult mouse.
Severe infiltration of the liver by malignant lymphocytes. Hepatocytes visible in the lower right corner.
 
           
     
   
   
   
  