The Digitized Atlas of Mouse Liver Lesions
Much of the work carried out by DTT is in support of the National Toxicology Program (NTP), an interagency partnership of the Food and Drug Administration, National Institute for Occupational Safety and Health, and NIEHS.
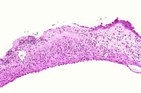
Visit the NTP WebsiteChronic inflammation of the gallbladder with mucosal ulceration.
 
           
    