Close the left navigation

The Digitized Atlas of Mouse Liver Lesions

Much of the work carried out by DTT is in support of the National Toxicology Program (NTP), an interagency partnership of the Food and Drug Administration, National Institute for Occupational Safety and Health, and NIEHS.

Visit the NTP Website

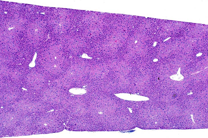
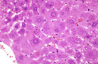
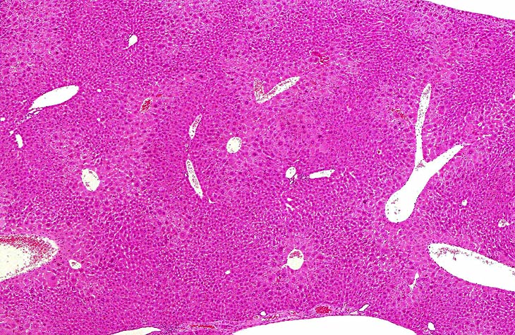
Centrilobular hepatocellular hypertrophy in a CD-1 mouse.


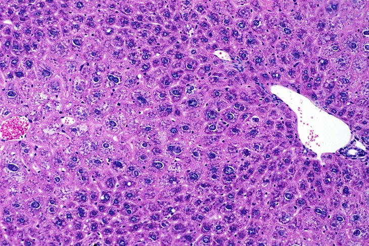
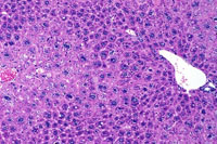
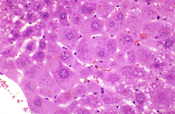
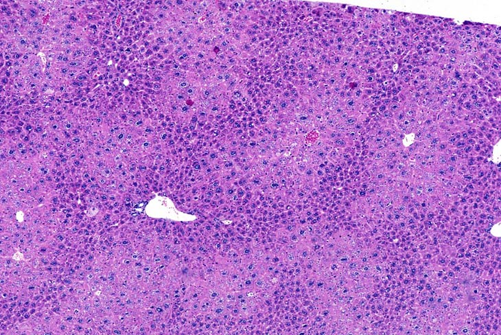
Centrilobular hepatocytomegaly (hypertrophy) in a mouse given phenobarbital for 8 months. Note the prominent eosinophilic cytoplasm reflective of smooth endoplasmic reticulum proliferation.