Close the left navigation

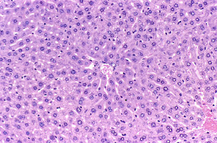
The Digitized Atlas of Mouse Liver Lesions

Much of the work carried out by DTT is in support of the National Toxicology Program (NTP), an interagency partnership of the Food and Drug Administration, National Institute for Occupational Safety and Health, and NIEHS.

Visit the NTP Website

Immersion fixed liver following an overnight fast. Fixative was 10% NBF.