Close the left navigation
NTP Logo

Much of the work carried out by DTT is in support of the National Toxicology Program (NTP), an interagency partnership of the Food and Drug Administration, National Institute for Occupational Safety and Health, and NIEHS.

The Digitized Atlas of Mouse Liver Lesions

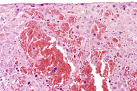
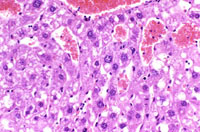
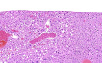
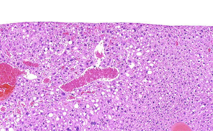
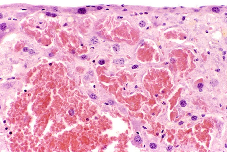
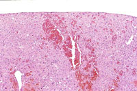
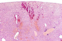
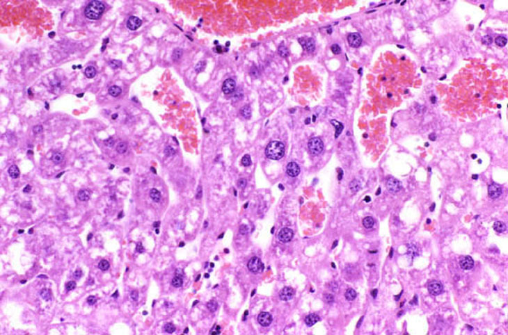
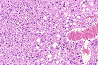
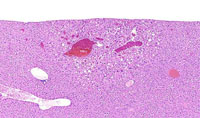
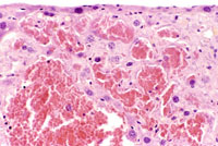
Angiectasis (peliosis hepatis, telangiectasis) is an incidental finding occasionally noted in aging mice. In extensive lesions, atrophy of adjacent hepatocytes may be seen. The lesions consists of dilated sinusoidal spaces lined by normal endothelial cells and filled with blood cells in immersion-fixed specimens. This lesion is occasionally associated with hepatocellular neoplasms. Angiectasis typically consists of smaller blood channels than is seen in hemangiomas. Also, angiectatic vascular channels are often not associated with endothelial cell proliferation as is seen in hemangiomas.


These examples represent low magnification views of angiectasis.


These examples represent medium magnification views of angiectasis.


These examples represent high magnification views of angiectasis.