Close the left navigation

The Digitized Atlas of Mouse Liver Lesions

Much of the work carried out by DTT is in support of the National Toxicology Program (NTP), an interagency partnership of the Food and Drug Administration, National Institute for Occupational Safety and Health, and NIEHS.

Visit the NTP Website

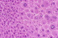
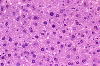
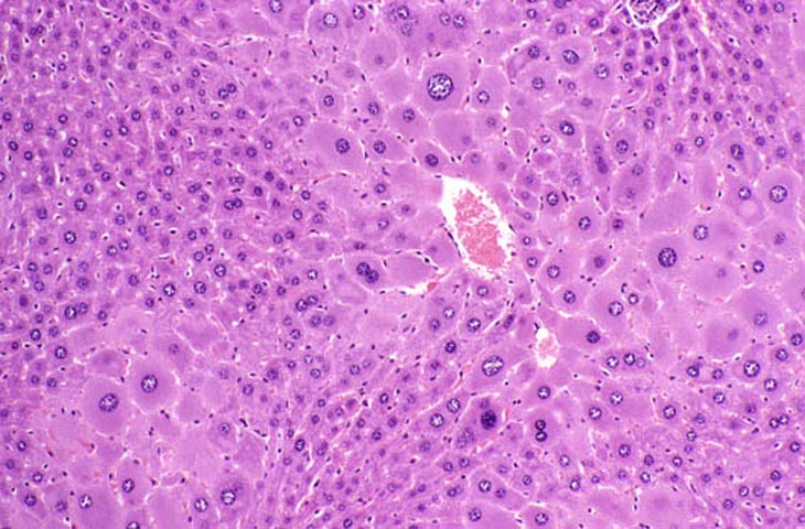
The normal mouse liver contains hepatocytes that are diploid, tetraploid, and octaploid with increase ploidy occurring as the animal ages. A tetraploid hepatocyte may have twice the complement of DNA either by having two diploid nuclei (binucleated hepatocyte) or a single nucleus which contains twice the diploid amount of DNA. A variety of treatment regimens cause alterations in ploidy with single hepatocytes sometimes having several diploid nuclei (multinucleated hepatocytes). The hepatocyte regeneration that follows partial hepatectomy is the result of proliferation of diploid cells. Polyploidy develops once the liver has completed regeneration.


Normal mouse liver showing a mixture of diploid, binucleate, and tetraploid hepatocytes.


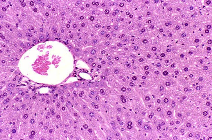
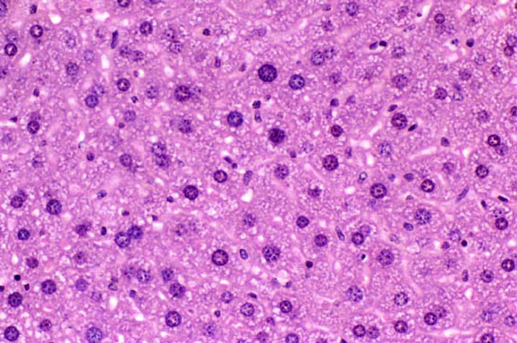
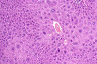
Extreme polyploidy consisting of cytomegalic hepatocytes with very large nuclei as well as cytomegalic hepatocytes with several diploid nuclei is seen in these images from a mouse treated with chlordane for 18 months.