Close the left navigation

The Digitized Atlas of Mouse Liver Lesions

Much of the work carried out by DTT is in support of the National Toxicology Program (NTP), an interagency partnership of the Food and Drug Administration, National Institute for Occupational Safety and Health, and NIEHS.

Visit the NTP Website

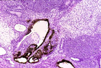
Ovarian teratomas that metastasize to the liver are uncommon in mice.


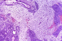
A clearly demarcated ovarian teratoma in the liver; a higher magnification shows pigmented epithelial-lined glands, glandular structures without pigment, undifferentiated epithelial cells, and mesenchymal tissue.


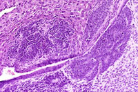
Neurological tissue is clearly present in this view.