Close the left navigation

The Digitized Atlas of Mouse Liver Lesions

Much of the work carried out by DTT is in support of the National Toxicology Program (NTP), an interagency partnership of the Food and Drug Administration, National Institute for Occupational Safety and Health, and NIEHS.

Visit the NTP Website

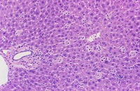
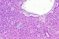
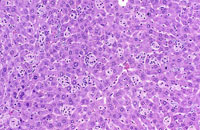
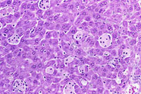
Kupffer cell hyperplasia and hypertrophy is rarely seen in mice. Hypertrophic Kupffer cells may contain pigment in some cases.


Examples of Kupffer cell hyperplasia.