Close the left navigation

The Digitized Atlas of Mouse Liver Lesions

Much of the work carried out by DTT is in support of the National Toxicology Program (NTP), an interagency partnership of the Food and Drug Administration, National Institute for Occupational Safety and Health, and NIEHS.

Visit the NTP Website

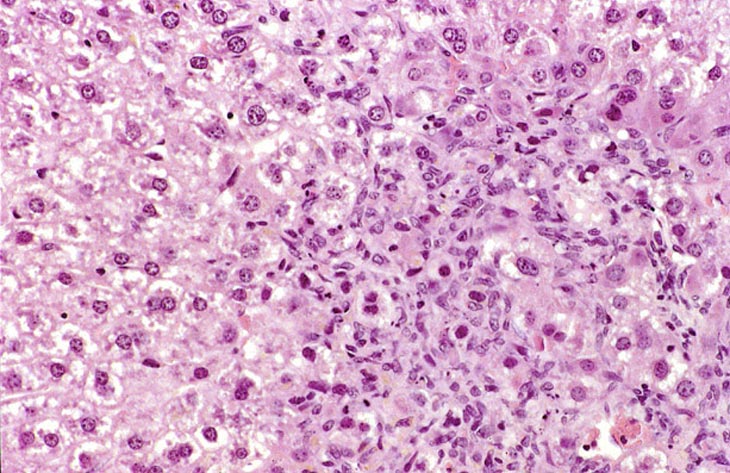
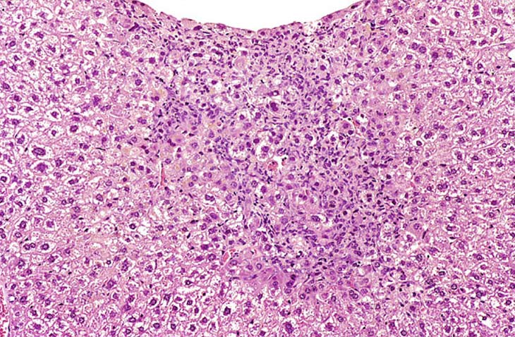
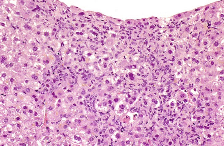
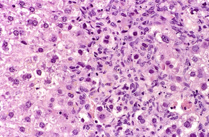
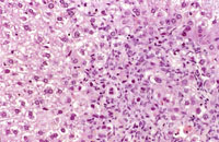
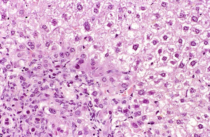
This change was originally diagnosed as endothelial cell proliferation. Based on the H&E stained sections, it is not possible to definitively identify the proliferating sinusoidal lining cells as endothelial cells but some have cytomorphological features consistent with endothelial cells. Low and high magnifications of endothelial cell hyperplasia.