
Much of the work carried out by DTT is in support of the National Toxicology Program (NTP), an interagency partnership of the Food and Drug Administration, National Institute for Occupational Safety and Health, and NIEHS.
The Digitized Atlas of Mouse Liver Lesions
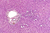
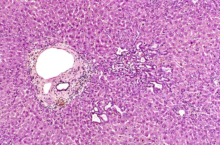
While most examples of bile duct hyperplasia consist of a modest duplication of normal appearing bile ducts in portal areas, occasionally more dramatic examples are found in other areas of the hepatic lobule.
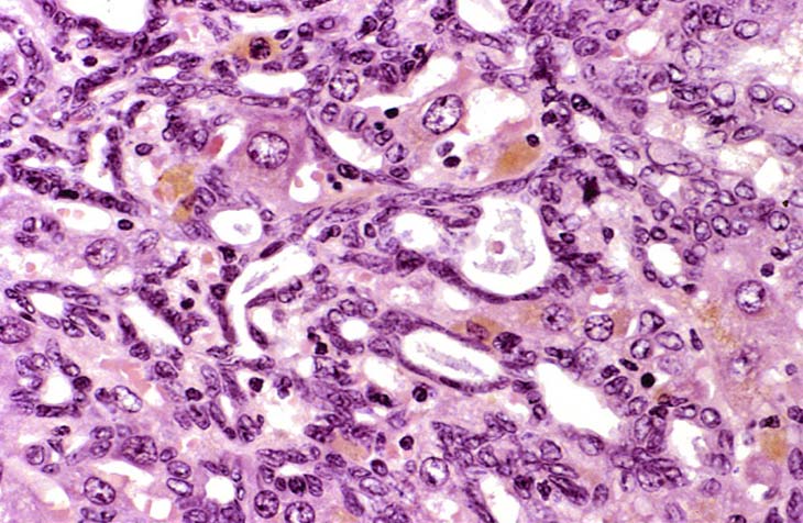
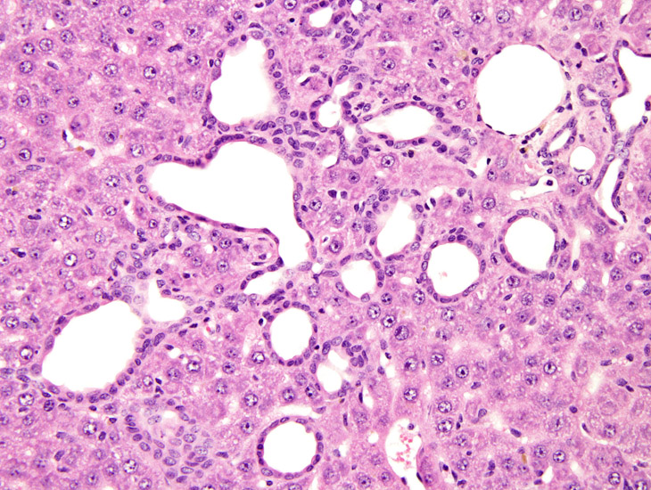
Hyperplastic bile ducts lined by low cuboidal epithelium.
Two local aggregates of proliferating bile ducts within the hepatic lobule.
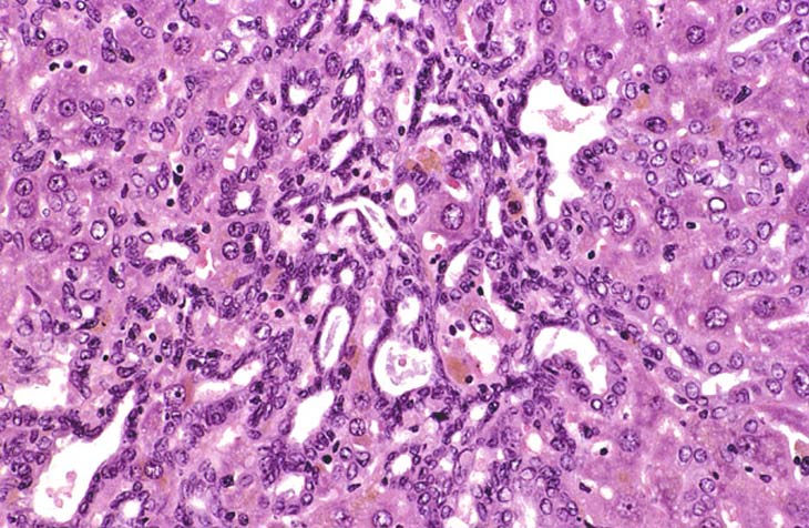
Higher magnification showing low cuboidal to flattened biliary epithelium forming irregularly shaped bile ducts.