Close the left navigation

The Digitized Atlas of Mouse Liver Lesions

Much of the work carried out by DTT is in support of the National Toxicology Program (NTP), an interagency partnership of the Food and Drug Administration, National Institute for Occupational Safety and Health, and NIEHS.

Visit the NTP Website

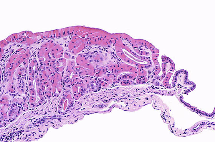
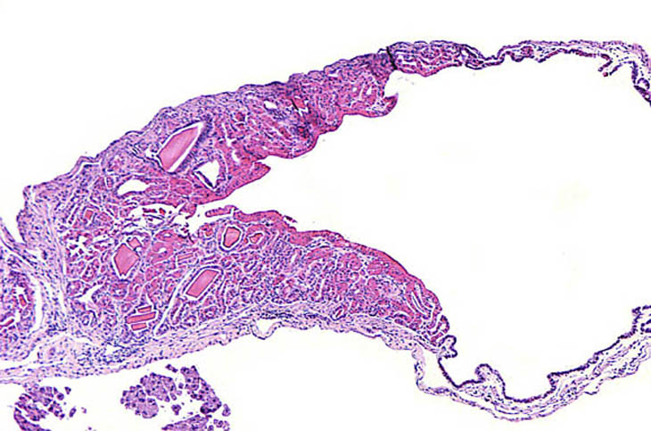
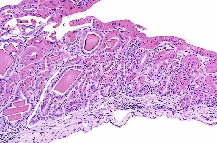
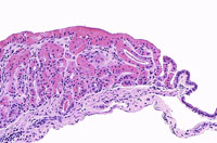
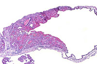
Eosinophilic crystalline inclusions and hyalin degeneration of epithelial cytoplasm in an adenomatous hyperplasia of the gallbladder. High magnification shows the brightly eosinophilic hyalinized cytoplasm of the epithelial cells.