Close the left navigation

The Digitized Atlas of Mouse Liver Lesions

Much of the work carried out by DTT is in support of the National Toxicology Program (NTP), an interagency partnership of the Food and Drug Administration, National Institute for Occupational Safety and Health, and NIEHS.

Visit the NTP Website

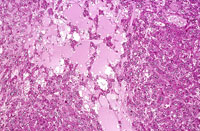
Cystic degeneration is not as common in mice as in rats. It consists of multilocular cyst-like structures containing granular or flocculent eosinophilic material and, occasionally, erythrocytes. It is believed to represent a degenerative change in Ito cells (stellate cells) and may be seen in normal hepatic parenchyma as well as in proliferative hepatocellular lesions such as foci and neoplasms.