Close the left navigation

The Digitized Atlas of Mouse Liver Lesions

Much of the work carried out by DTT is in support of the National Toxicology Program (NTP), an interagency partnership of the Food and Drug Administration, National Institute for Occupational Safety and Health, and NIEHS.

Visit the NTP Website

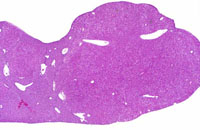
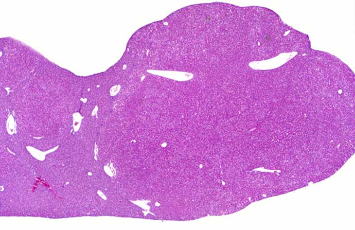
Transgenic mice carrying an albumin promoter linked to mouse urokinase type plasminogen (uPA) activator have functionally compromised hepatocytes. High levels of hepatic production of uPA lead to hemorrhage and death of many of the mice shortly after birth. However, some mice survive due to chromosomal rearrangement of proliferating hepatocytes resulting in loss of significant functional components of the transgene. In these mice, the liver parenchyma is replaced by the transgene deficient hepatocytes within about 8 weeks. This replacement occurs by nodular regeneration of the transgene deficient hepatocytes. In some Alb-uPA mice there is complete loss of the transgene, and these mice eventually develop hepatocellular adenomas and carcinomas.


A large and a small nodule of regenerating hepatocytes in an Alb-uPA transgenic mouse.


Multiple large and small nodules of regenerating hepatocytes in an Alb-uPA transgenic mouse.


An aged uPA transgenic mouse with an hepatocellular adenoma. There is evidence of toxic hepatopathy in the adjacent hepatic parenchyma.