Close the left navigation

Degenerative Lesions of the Liver

Much of the work carried out by DTT is in support of the National Toxicology Program (NTP), an interagency partnership of the Food and Drug Administration, National Institute for Occupational Safety and Health, and NIEHS.

Visit the NTP Website

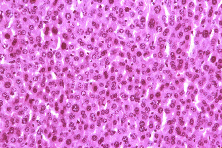
Hepatocyte atrophy and glycogen depletion after 90 days of exposure to malonaldehyde. Note paucity of cytoplasm and crowding of nuclei.