Close the left navigation

The Digitized Atlas of Mouse Liver Lesions

Much of the work carried out by DTT is in support of the National Toxicology Program (NTP), an interagency partnership of the Food and Drug Administration, National Institute for Occupational Safety and Health, and NIEHS.

Visit the NTP Website

(Images from Chapter 21 of Pathology of Genetically Engineered Mice (2000). JM Ward, JF Mahler, RR Maronpot, JP Sundberg, Eds. with permission of Iowa State University Press, Ames, Iowa)


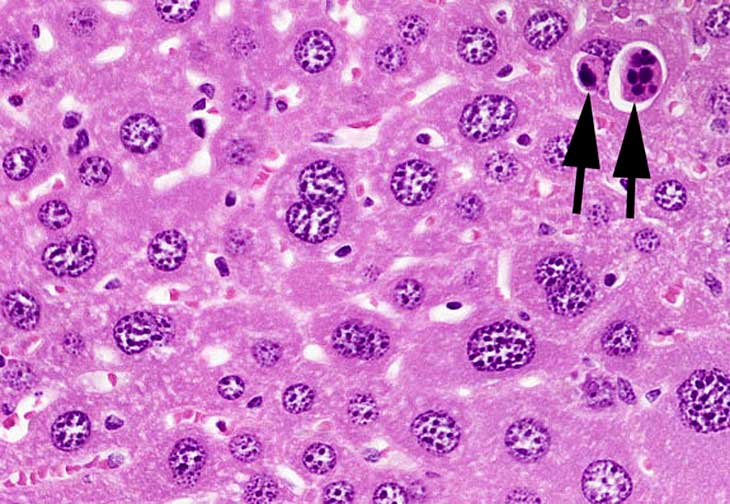
Hepatocytomegaly and karyomegaly with apoptotic bodies (arrows).


In situ hybridization demonstrating expression of TGF alpha. Seen with a normal lobular pattern of distribution in liver on left and with a more intense and irregular pattern of distribution in the carcinoma on the right.


Glandular/acinar formation in a diethylnitrosamine-induced hepatocellular adenoma.