Close the left navigation
NTP Logo

Much of the work carried out by DTT is in support of the National Toxicology Program (NTP), an interagency partnership of the Food and Drug Administration, National Institute for Occupational Safety and Health, and NIEHS.

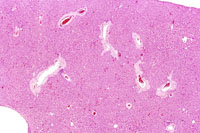
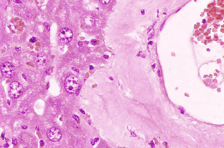
Degenerative Lesions of the Liver


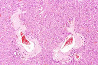
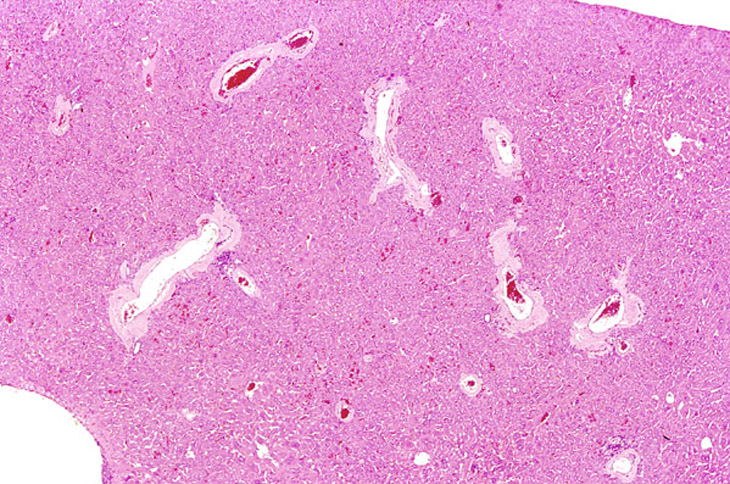
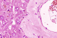
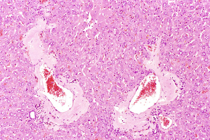
Amyloid deposition is rare in B6C3F1 mice but more common in the liver (and also the gallbladder) of CD-1 mice. It is usually located beneath the sinusoidal lining and in the wall of portal blood vessels. Amyloid deposition around blood vessels in the portal areas.