Close the left navigation

The Digitized Atlas of Mouse Liver Lesions

Much of the work carried out by DTT is in support of the National Toxicology Program (NTP), an interagency partnership of the Food and Drug Administration, National Institute for Occupational Safety and Health, and NIEHS.

Visit the NTP Website

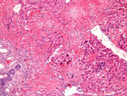
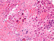
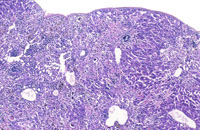
Extensive hepatic necrosis and inflammation in an athymic nude mouse with chronic mouse hepatitis virus (MHV) infection.


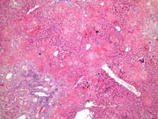
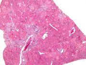
Mouse hepatitis virus infection in a SCID mouse. There is extensive hepatic necrosis.