Close the left navigation

The Digitized Atlas of Mouse Liver Lesions

Much of the work carried out by DTT is in support of the National Toxicology Program (NTP), an interagency partnership of the Food and Drug Administration, National Institute for Occupational Safety and Health, and NIEHS.

Visit the NTP Website

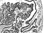
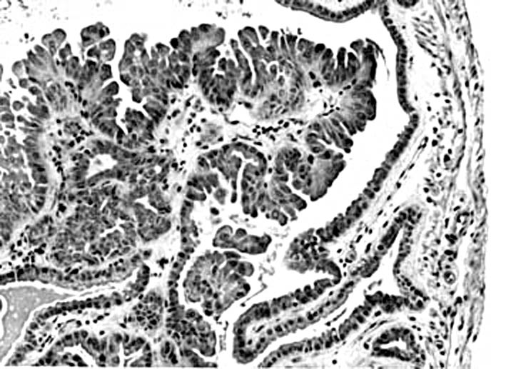
A papillary adenoma of the gallbladder in an adult mouse. Higher magnification reveals multiple layers of proliferating epithelium lining a connective tissue stalk.