Close the left navigation

The Digitized Atlas of Mouse Liver Lesions

Much of the work carried out by DTT is in support of the National Toxicology Program (NTP), an interagency partnership of the Food and Drug Administration, National Institute for Occupational Safety and Health, and NIEHS.

Visit the NTP Website

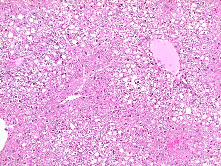
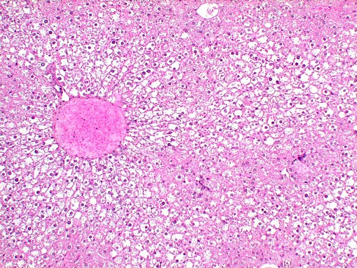
Centrilobular deposition of glycogen in a B6C3F1 mouse.


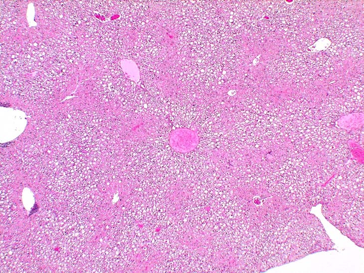
Glycogen rich hepatocytes are localized in periportal and mid-lobular areas of the liver of this untreated male B6C3F1 mouse.


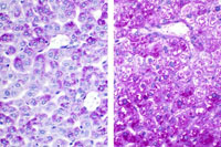
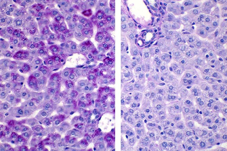
Periodic acid Schiff stain of glycogen in a formalin fixed liver without diastase treatment on the left and with diastase treatment on the right.


Periodic acid Schiff stain for glycogen in an alcoholic formalin fixed liver. Treatment with diastase on the left and without diastase on the right.


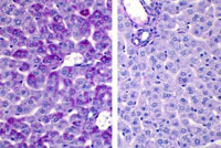
Periodic acid Schiff stain of glucose-6-phosphatase +/+ mouse (left) and -/- mouse (right) showing glycogen storage in hepatocytes of formalin fixed liver.