Close the left navigation

The Digitized Atlas of Mouse Liver Lesions

Much of the work carried out by DTT is in support of the National Toxicology Program (NTP), an interagency partnership of the Food and Drug Administration, National Institute for Occupational Safety and Health, and NIEHS.

Visit the NTP Website

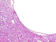
Bile duct cyst. A solitary biliary cyst at the edge of a liver lobe. This was grossly visible and such cysts are typically filled with clear to straw colored fluid and lined by flattened biliary epithelium. They are found occasionally in the liver of untreated mice. Note: The clear space in the cytoplasm of the hepatocytes was previously occupied by glycogen which has dissolved out in the aqueous formalin fixative.