Close the left navigation
NTP Logo

Much of the work carried out by DTT is in support of the National Toxicology Program (NTP), an interagency partnership of the Food and Drug Administration, National Institute for Occupational Safety and Health, and NIEHS.

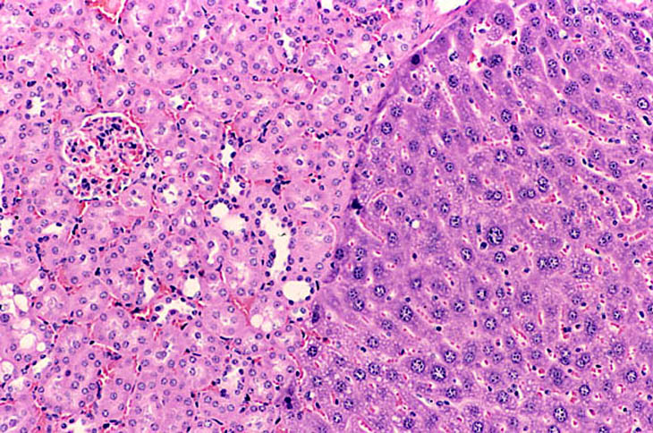
The Digitized Atlas of Mouse Liver Lesions