Close the left navigation

The Digitized Atlas of Mouse Liver Lesions

Much of the work carried out by DTT is in support of the National Toxicology Program (NTP), an interagency partnership of the Food and Drug Administration, National Institute for Occupational Safety and Health, and NIEHS.

Visit the NTP Website

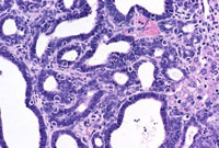
Because their occurrence is rare, morphological characteristics of cholangiomas are not well characterized and must be distinguished from biliary cysts. Cholangiomas are discrete nodular growths in which the proliferating biliary structures are lined by a single layer of relatively uniform cuboidal epithelium. A discrete cholangioma protruding above the natural surface of the liver.


Neoplasm is comprised of large acini lined by cuboidal epithelium with occasional papillary projections into the lumen.


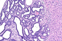
This cholangioma has connective tissue stroma between acini. Higher magnification shows acini lined by tall cuboidal epithelium. The nuclear crowding and occasional nests of epithelial cells in the stroma suggests progression toward malignancy.