U.S. flag

An official website of the United States government

Dot gov

The .gov means it’s official.
Federal government websites often end in .gov or .mil. Before sharing sensitive information, make sure you’re on a federal government site.

Https

The site is secure.
The https:// ensures that you are connecting to the official website and that any information you provide is encrypted and transmitted securely.

Environmental Factor

Environmental Factor

Your Online Source for NIEHS News

January 2025


Science as art, fellows capture NIEHS research in vibrant images

Twenty-two colorful images, representing a cross section of environmental health research, are now on display across the institute.

A new exhibit of eye-catching scientific images graces the halls of NIEHS, thanks to the creativity of institute trainees. Fourteen fellows developed nearly two dozen works of art as part of the NIEHS Fellows Scientific Image Competition. The images range from close-up photos of treated cells to model organisms and high-resolution heat maps, reflecting the broad scope of research conducted by fellows across different institute branches.

The competition, which occurs every few years, was initiated by Scientific Director Darryl Zeldin, M.D., and led by NIEHS Trainees Assembly co-chairs Gulberk Ozcebe, Ph.D., and Osafu Egbon, Ph.D.

“We are excited to showcase the work of our trainees using visual media, which reminds us there is art in science and the important research we’re all engaged in at NIEHS,” Zeldin said.

Please scroll down to enjoy the images, which have been framed and are on display throughout Building 101.

3D projection of a bobtail squid embryo, stained for DAPI, acetylated tubulin, phalloidin, and serotonin. Visualized as an intensity gradient Fire Squid. 3D projection of a bobtail squid embryo, stained for DAPI, acetylated tubulin, phalloidin, and serotonin. Visualized as an intensity gradient. Submitted by Martín Andrés Estermann, Ph.D. (Principal Investigator: Humphrey Yao, Ph.D.)
Human endometrial stromal cells were treated for three days with a decidualizing hormone cocktail consisting of 17-beta estradiol, medroxyprogesterone acetate, and cyclic AMP. F-actin filaments were labeled green, and nuclei were labeled blue The Cobblestone Cytoskeleton of Human Decidual Cells. Human endometrial stromal cells were treated for three days with a decidualizing hormone cocktail consisting of 17-beta estradiol, medroxyprogesterone acetate, and cyclic AMP. F-actin filaments were labeled green, and nuclei were labeled blue. Submitted by Ryan Marquardt, Ph.D. (Principal Investigator: Francesco DeMayo, Ph.D.)
Magnification in testicular cords resembling a smiley face. DAPI in blue, GFP in green, and COUP-TFII in red Happy Testis. Magnification in testicular cords resembling a smiley face. DAPI in blue, GFP in green, and COUP-TFII in red. Submitted by Martín Andrés Estermann, Ph.D. (Principal Investigator: Humphrey Yao, Ph.D.)
3D reconstruction of sea squirt eggs stained with MitoTracker dye (red) Spikey Eggs. 3D reconstruction of sea squirt eggs stained with MitoTracker dye (red). Submitted by Martín Andrés Estermann, Ph.D. (Principal Investigator: Humphrey Yao, Ph.D.)
Visualization of cell junctions in tracheal epithelial cells from a TLR5 knockout mouse using ZO1 (white) and DAPI (blue) staining Hurricane. Visualization of cell junctions in tracheal epithelial cells from a TLR5 knockout mouse using ZO1 (white) and DAPI (blue) staining. Submitted by Jonas Ritter (Principal Investigator: Stavros Garantziotis, M.D.)
Whole mount of a mouse lung and trachea, stained with SOX9 (green), vasculature (red), and DAPI (blue) Breathtaking Image. Whole mount of a mouse lung and trachea, stained with SOX9 (green), vasculature (red), and DAPI (blue). Submitted by Martín Andrés Estermann, Ph.D. (Principal Investigator: Humphrey Yao, Ph.D.)
3D projection of a mouse embryo, stained for PECAM-1, a protein that plays a key role in vascular biology and inflammation Mouse Vasculature. 3D projection of a mouse embryo, stained for PECAM-1, a protein that plays a key role in vascular biology and inflammation. Submitted by Martín Andrés Estermann, Ph.D. (Principal Investigator: Humphrey Yao, Ph.D.)
Masson’s trichrome staining of fibrotic mouse lungs. Lung alveoli (tiny air sacs in the lungs) form a balloon-like structure, which gets compressed when fibrotic remodeling occurs. Collagen (blue), keratin (red), cytoplasm (pink), and nuclei (brown). Red, White, and Blue. Masson’s trichrome staining of fibrotic mouse lungs. Lung alveoli (tiny air sacs in the lungs) form a balloon-like structure, which gets compressed when fibrotic remodeling occurs. Collagen (blue), keratin (red), cytoplasm (pink), and nuclei (brown). Submitted by Wilfred Lopez Perez, Ph.D. (Principal Investigator: Michael Fessler, M.D.)
Close-up of a mouse lung given fluorescent bleomycin. Alveolar type 1 (AT1) cells (cyan), alveolar type 2 (AT2) cells (magenta), and fluorescent bleomycin (yellow) Alveolar Nebulas. Close-up of a mouse lung given fluorescent bleomycin. Alveolar type 1 (AT1) cells (cyan), alveolar type 2 (AT2) cells (magenta), and fluorescent bleomycin (yellow). Submitted by Wilfred López Pérez, Ph.D. (Principal Investigator: Michael Fessler, M.D.)
Transgenic Caenorhabditis elegans (worm) early embryos, with histones in green and cell membranes in magenta Early Embryonic Divisions. Transgenic Caenorhabditis elegans (worm) early embryos, with histones in green and cell membranes in magenta. Submitted by Martín Andrés Estermann, Ph.D. (Principal Investigator: Humphrey Yao, Ph.D.)
Smoking is the leading cause of preventable death, yet there are more than a billion smokers worldwide. This smoke machine robot exposes mice to cigarette smoke in order to study its impact on the epigenome and beyond. Smoke Machine. Smoking is the leading cause of preventable death, yet there are more than a billion smokers worldwide. This smoke machine robot exposes mice to cigarette smoke in order to study its impact on the epigenome and beyond. Submitted by Ezazul Haque, Ph.D. (Principal Investigator: Stephanie London, M.D., Dr.P.H.)
Fluorescently labeled megakaryocytes attached to polylysine-coated glass coverslips with Hoechst 33342. Maximum intensity projection of a stacked image taken with a Carl Zeiss 880 confocal microscope using Plan-Apochromat 63x/1.40 Oil DIC M27 objective and 3.0 digital zoom Multilobulated Nucleus of a Mouse Megakaryocyte. Fluorescently labeled megakaryocytes attached to polylysine-coated glass coverslips with Hoechst 33342. Maximum intensity projection of a stacked image taken with a Carl Zeiss 880 confocal microscope using Plan-Apochromat 63x/1.40 Oil DIC M27 objective and 3.0 digital zoom. Submitted by Matias Grodzielski, Ph.D. (Principal Investigator: John Cidlowski, Ph.D.)
Transverse section of an E11.5 female mouse gonad, stained for COUPTFII (red), SF1 (blue), and WT1 (green) Rainbow Gonad. Transverse section of an E11.5 female mouse gonad, stained for COUPTFII (red), SF1 (blue), and WT1 (green). Submitted by Martín Andrés Estermann, Ph.D. (Principal Investigator: Humphrey Yao, Ph.D.)
Second-harmonic generation of fibrotic mouse lungs. Lung alveoli (tiny air sacs in the lungs) form balloon-like structures, which gets compressed when fibrotic remodeling occurs. Collagen shown in pink Pink Highways. Second-harmonic generation of fibrotic mouse lungs. Lung alveoli (tiny air sacs in the lungs) form balloon-like structures, which gets compressed when fibrotic remodeling occurs. Collagen shown in pink. Submitted by Wilfred López Pérez, Ph.D. (Principal Investigator: Michael Fessler, M.D.)
Single-Cell Data Integration Tool. The EMT process includes dynamic transitions among three epithelial states (E1, E2, E3), three partial states (pEMT1-3), one mesenchymal state (M), and a partial MET state (pMET). Using CyTOF single-cell data, GIBOOST improves visualization and interpretation by accurately aligning cell types or states to match the experimental progression from E to pEMT, then M, and finally pMET GIBOOST: Single-Cell Data Integration Tool. The EMT process includes dynamic transitions among three epithelial states (E1, E2, E3), three partial states (pEMT1-3), one mesenchymal state (M), and a partial MET state (pMET). Using CyTOF single-cell data, GIBOOST improves visualization and interpretation by accurately aligning cell types or states to match the experimental progression from E to pEMT, then M, and finally pMET. Submitted by Komlan Atitey, Ph.D. (Principal Investigator: Benedict Anchang, Ph.D.)
This 1-kilometer resolution map of the urban heat island is obtained through a spatiotemporal Bayesian model (SAMBA) fed by air temperature measurements from Weather Underground citizen weather stations (July 2021 average). Inequal Exposure to Heat Across the Triangle Area (North Carolina). This 1-kilometer resolution map of the urban heat island is obtained through a spatiotemporal Bayesian model (SAMBA) fed by air temperature measurements from Weather Underground citizen weather stations (July 2021 average). Submitted by Eva Marques, Ph.D. (Principal Investigator: Kyle Messier, Ph.D.)
NTHL1 is a bifunctional DNA glycosylase/AP lyase that initiates the repair of oxidatively damaged pyrimidines through recognition and removal of the damaged bases. Loss of NTHL1 expression or function is linked to carcinogenesis. Analysis across different databases shows that in several cancers, NTHL1 is overexpressed. We constructed a NTHL1 overexpression-based cellular model and discovered that NTHL1 functions in ribosome biogenesis NTHL1 Nucleolar Localization Requires Association With RNA. NTHL1 is a bifunctional DNA glycosylase/AP lyase that initiates the repair of oxidatively damaged pyrimidines through recognition and removal of the damaged bases. Loss of NTHL1 expression or function is linked to carcinogenesis. Analysis across different databases shows that in several cancers, NTHL1 is overexpressed. We constructed a NTHL1 overexpression-based cellular model and discovered that NTHL1 functions in ribosome biogenesis. These images show that NTHL1 localizes to the nucleolus, which depends on the presence of nucleolar rRNA and not DNA. Submitted by Anirban Kar, Ph.D. (Principal Investigator: Paul Doetsch, Ph.D.)
Cholinergic neurons were labeled with tdTomato. Fixed mouse brains underwent tissue clearing and were subsequently imaged with a light-sheet microscope Cholinergic Neurons and Their Fibers in the Adult Mouse Brain. Cholinergic neurons were labeled with tdTomato. Fixed mouse brains underwent tissue clearing and were subsequently imaged with a light-sheet microscope. Submitted by Oliver Goral, Ph.D. (Principal Investigator: Jerrel Yakel, Ph.D.)
Spatiotemporal mapping of the Ly6G protein at single-cell resolution within a melanoma microenvironment following perturbation by PMEL CD8+ T cells activated ex vivo Mapping Tumor and Immune Landscapes in Melanoma. Spatiotemporal mapping of the Ly6G protein at single-cell resolution within a melanoma microenvironment following perturbation by PMEL CD8+ T cells activated ex vivo. Submitted by Osafu Egbon, Ph.D. (Principal Investigator: Benedict Anchang, Ph.D.)
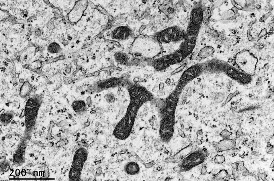
Transmission electron microscopy image of human fibroblasts, showing the mitochondrial morphology In the Spirit of Dalí: Zebra Cavalier. Transmission electron microscopy image of human fibroblasts, showing the mitochondrial morphology. Submitted by Gulberk Ozcebe, Ph.D. (Principal Investigator: Stavros Garantziotis, M.D.)
Tyrosine Hydroxylase (TH) positive dopaminergic neurons play a pivotal role in movement and locomotion. This confocal image shows colocalization of fluorophore AAV-mCherry (red) injected in a mouse brain, expressed under the control of cre-recombinase in dopaminergic neurons of Substantia nigra with endogenous expression of TH (green) and Aldh1a1 (magenta) Substantia Nigra: The Mid-Brain Dopaminergic Nucleus. Tyrosine Hydroxylase (TH) positive dopaminergic neurons play a pivotal role in movement and locomotion. This confocal image shows colocalization of fluorophore AAV-mCherry (red) injected in a mouse brain, expressed under the control of cre-recombinase in dopaminergic neurons of Substantia nigra with endogenous expression of TH (green) and Aldh1a1 (magenta). Submitted by Sukanya Saha, Ph.D. (Principal Investigator: Guohong Cui, M.D., Ph.D.)
(Left) E17.5 testis cross sections showing perinuclear GFP (green) in COUP-TFII labeled cells at 10.5, Leydig cells (magenta), and smooth muscle actin (red). (Right) E17.5 testis cross sections showing perinuclear GFP (green) in Wt1 labeled cells at 11.5 and 12.5, COUP-TFII (red), and DAPI (blue) Watercolor Testis. (Left) E17.5 testis cross sections showing perinuclear GFP (green) in COUP-TFII labeled cells at 10.5, Leydig cells (magenta), and smooth muscle actin (red). (Right) E17.5 testis cross sections showing perinuclear GFP (green) in Wt1 labeled cells at 11.5 and 12.5, COUP-TFII (red), and DAPI (blue). Submitted by Martín Andrés Estermann, Ph.D. (Principal Investigator: Humphrey Yao, Ph.D.)

(Erica Hinton is a contract writer for the NIEHS Office of Communications and Public Liaison.)


Back To Top