A new exhibit of scientific images made by NIEHS researchers using cutting-edge technology is being hung throughout the institute. As the pandemic eases in the coming months and more employees return to work onsite, they will be greeted by 27 new framed images displayed in laboratory and administrative areas.
Organized by a group of NIEHS trainees led by Joseph Dahl, Ph.D., former president of the NIEHS Trainees’ Assembly (NTA), the images were selected through a competition launched by Scientific Director Darryl Zeldin, M.D. “It has been over five years since our last collection of images,” said Zeldin, referring to an earlier display.

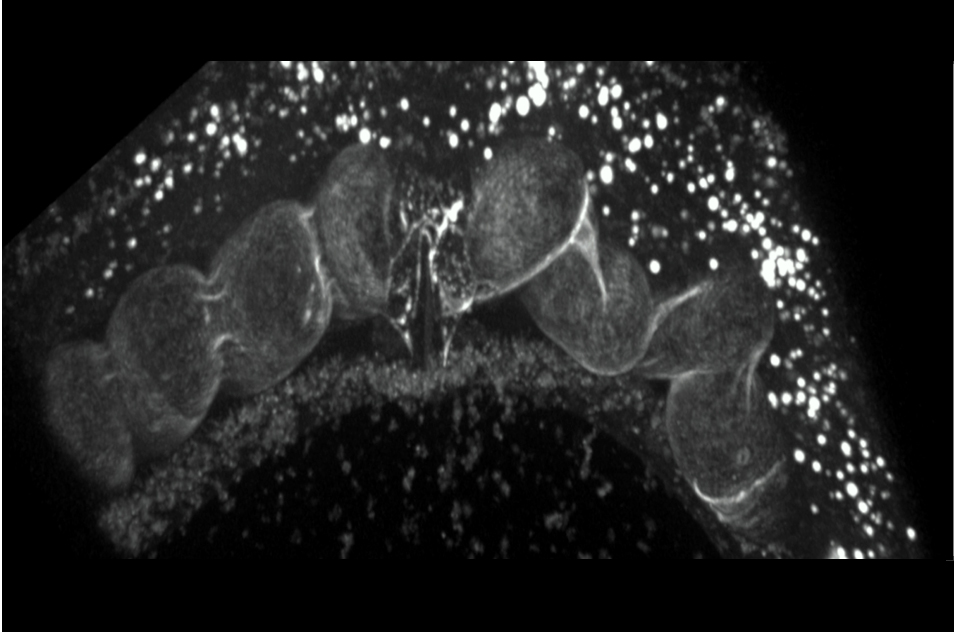
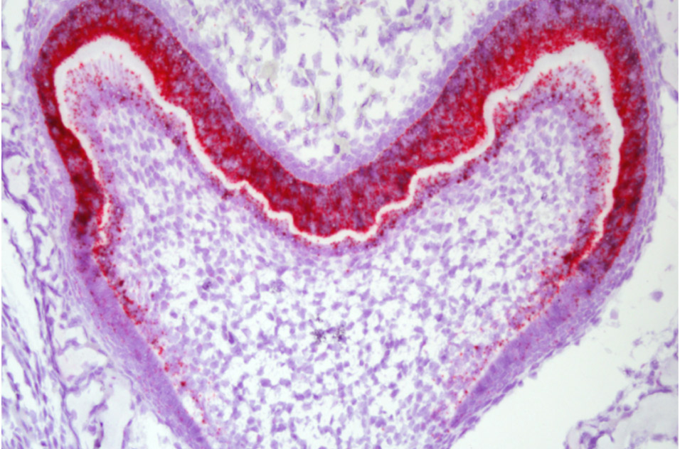
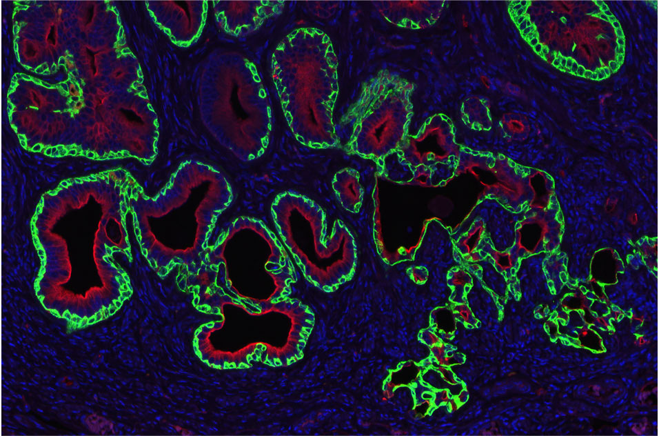
Cross-section and time capsule

Dahl explained that the selections represent branches and labs from across the institute, including the Clinical Research Unit and the Division of the National Toxicology Program.
“Environmental health sciences encompass so many fields — from genomics to cloning to the way that drugs affect cells and tissue,” he said. “The collection represents both a cross section of that work, and a time capsule of techniques in use today.”
Dahl remains enthusiastic about the months-long project. “Dr. Zeldin is such a great advocate for the fellows, so when he asked me to do this, I tried to make it happen,” Dahl said.
Emphasis on education
Joining Dahl on the NTA committee were Nancy Urbano, Kiana Gunn, and Thanh Hoang, Ph.D. They discussed selections with both leadership and interior design teams. The educational aspect was a high priority, showing how tissue responds to external stimulus and fine structural detail.
Framed photographs will be hung in various hallways and lobbies, for viewing by visitors who tour the institute. “We want to both educate viewers and showcase the amazing work being done here,” Dahl explained. “It is also a great way to demonstrate what our arts and photography team can do.”

Dahl thanked the Office of the Scientific Director, the trainees, and especially the individuals who did the science that is represented.
NIH collects for public sharing
The final collection was sent to the National Institutes of Health (NIH) in response to a call by the NIH Office of Intramural Research (OIR). “We intend to use these images both on the IRP [Intramural Research Program] web site and on our social media platforms as a visual hook to entice people to click through and learn more about our research accomplishments,” wrote Andy Baxevanis, Ph.D., OIR director of computational biology, in his email request.

“Intramural scientists are constantly producing amazing images that inform and advance scientific progress,” wrote Baxevanis. “As an added bonus, they also provide us a phenomenal way of catching the public’s eye and educating them about the cutting-edge work being done in the IRP.”