PCNA
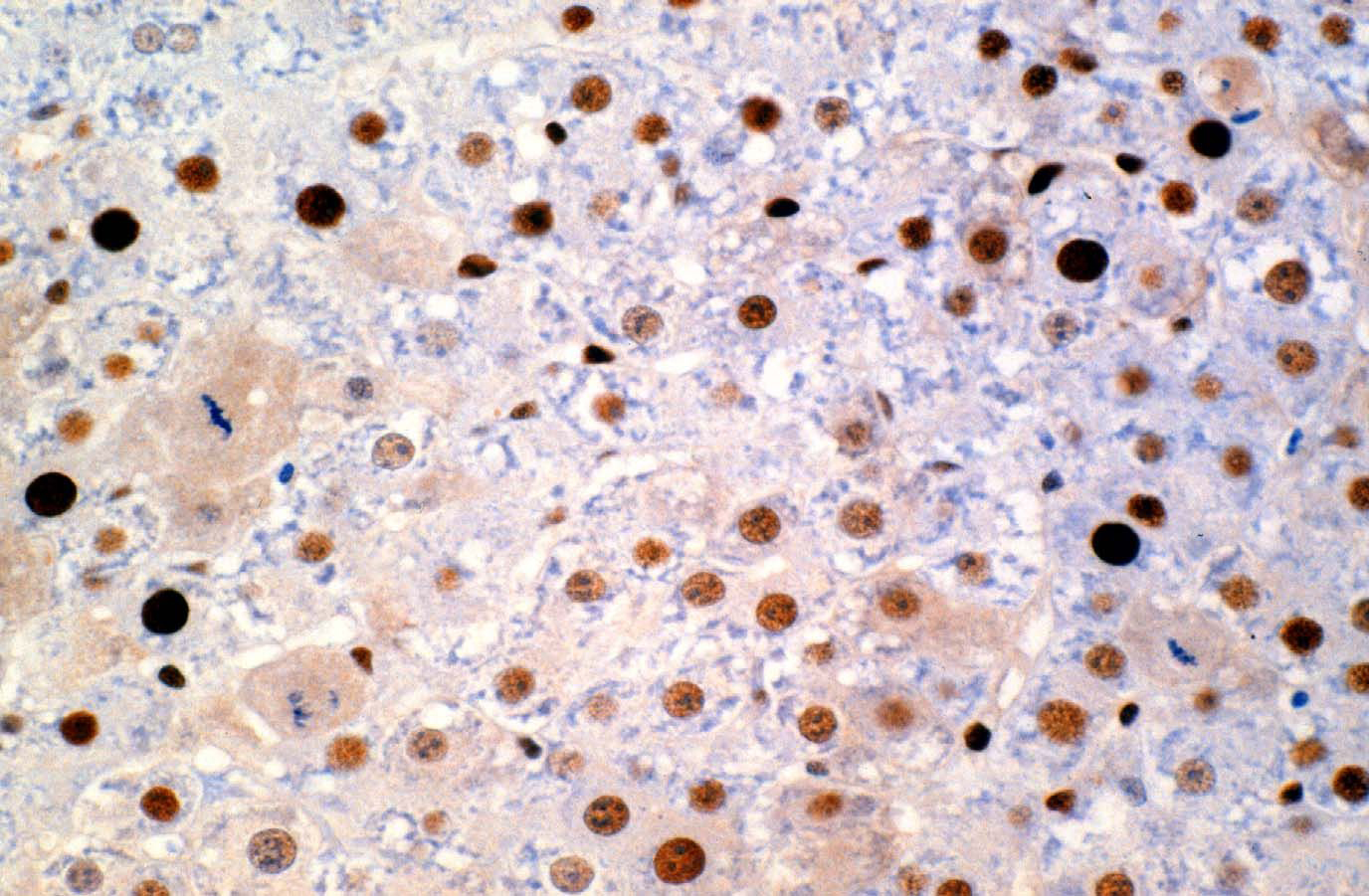
PCNA: Immunoperoxidase staining of formalin-fixed, paraffin-embedded, partial hep mouse liver showing nuclear staining of hepatocytes.
Download a high resolution copy of the PCNA image.

PCNA: Immunoperoxidase staining of formalin-fixed, paraffin-embedded, partial hep mouse liver showing nuclear staining of hepatocytes.
Download a high resolution copy of the PCNA image.